Čeští vědci otestovali novou „dvojitou protilátku“, která velmi účinně chrání před koronavirem SARS-CoV-2 a všemi jeho testovanými variantami. Zároveň také zabraňuje viru, aby mutoval a stával se rezistentní vůči léčbě. Protilátku vyvinuli švýcarští vědci z biomedicínského výzkumného ústavu v Bellinzoně, jejich čeští kolegové z Biologického centra AV ČR a Českého centra pro fenogenomiku v centru BIOCEV ověřovali účinnost protilátky v preklinické studii.
Švýcarští vědci vyšli při vývoji nové účinné látky z protilátek získaných od pacientů, kteří prodělali covid-19. Léčba založená na podávání protilátek je účinná, naráží ale podle vědců na dva hlavní problémy. Protilátka musí zabírat proti právě se vyskytujícím variantám viru a musí zabránit virovým mutacím, které by vedly k zvyšování odolnosti viru, podobně jako se to děje například u bakterií, které se stávají rezistentní vůči používaným antibiotikům.
„Problém jsme vyřešili spojením dvou přirozených protilátek do jedné molekuly zvané bispecifická protilátka, která cílí na dvě různá virová místa současně,“ řekl Luca Varani, vedoucí týmu ze švýcarského institutu IRB. Právě zacílení na dvě nezávislá místa ve struktuře viru představuje inovaci, která znemožňuje viru vyvíjet si rezistenci proti léčbě. „I když virus může mutovat a vyhnout se tak útoku jedné protilátky, prokázali jsme, že nedokáže uniknout dvojitému působení naší bispecifické molekuly,“ vysvětlil Luca Varani. Pomocí superpočítačových simulací pak vědci molekulu zdokonalili a vyrobili pro laboratorní testy preklinické studie.

Tu prováděli vědci v českobudějovických laboratořích Biologického centra AV ČR od listopadu 2020. Studie potvrdila, že látka účinně zneškodňuje koronavirus SARS-CoV-2 i jeho varianty, včetně nedávné britské mutace. Kombinovaná účinnost a celková charakteristika tak z nové protilátky činí ideálního kandidáta pro klinickou studii u lidí. Může nejen podpořit léčbu pacienta se slabou imunitní odpovědí, ale zároveň může fungovat jako prevence.
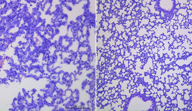
„Ve zvířecím modelu covid-19 poskytuje jediná injekce bispecifické protilátky okamžitou ochranu před onemocněním, která může trvat týdny nebo měsíce. Protilátka účinně snižuje virovou zátěž v plicích a zmírňuje zánět,“ potvrdil Daniel Růžek z Biologického centra AV ČR a Výzkumného ústavu veterinárního lékařství, který vedl preklinické testování protilátek na zvířatech.
Čas, kdy by se mohla látka dostat do klinické studie neodhadl, podotkl, že to mimo jiné závisí na jednání s investory. Dodal však, že obě samostatné protilátky, které tvoří nynější kombinaci tvoří, už v klinickém testování jsou.
Chceš mít přehled o tom, co se děje kolem tebe?